8江油部门网站8市人民医院8医护天地8医师园地


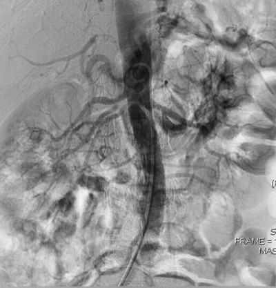
     近日,我院放射科成功完成一例复杂型肾动脉狭窄介入治疗。患者,女,39岁,以“高血压”就诊,血压最高时达172/115mmHg,CT检查发现双肾动脉狭窄,且右肾为两支肾动脉(主肾动脉、副肾动脉各一支)均狭窄,副肾动脉重度狭窄(狭窄率达90%)。经过术前积极准备,放射科主任张来安主治医师、李继兵主治医师为患者实施了肾动脉球囊扩张介入治疗,为了达到最好疗效,术中对三支狭窄肾动脉均进行了球囊扩张。术后一周,血压即恢复到了正常。经过近期随访,患者血压稳定在125/85mmHg。


    肾动脉狭窄是引起高血压的常见原因,老年患者多为粥样斑块导致狭窄,青中年患者以动脉炎或肌纤维结构不良导致狭窄为常见。传统治疗方式一是药物降压,但血压往往不易控制在正常范围,且无法解除肾动脉狭窄;二是外科手术肾动脉旁路移植,但创伤大,费用高,并发症多。随着近年介入治疗的兴起和成熟,肾动脉狭窄首选介入治疗。该方法只需穿刺股动脉,引入导丝、导管、球囊或支架等介入器材至肾动脉,用球囊扩张狭窄处(或植入支架)即可,术后效果立竿见影。

   介入微创治疗创伤小,恢复快,费用低,住院时间短(通常术后第三天即可出院),目前已成为血管狭窄(如肾动脉、颈动脉、下肢动脉、锁骨下动脉、冠状动脉等)首选治疗方法。


 
护理之窗
友情链接
关于我们 | 网上挂号 | 联系我们 | 网站管理